หน้าแรก
ค้นหา
Dr Bush Knee Injection Fluoroscope guided
No description available
แสดงข้อมูลเพิ่มเติม 1
Dr Bush Knee Injection Fluoroscope guided
Fluoro guided joint injections hip, knee
Arthrography: What are the steps of the procedure? - Dr. Angela Noto
Imaging of Arthrogram (Shoulder, Elbow, Wrist, Hip, Knee Or Ankle) In Radio-Diagnosis.
Arthrography
ExpertMRI Advance Arthrogram Procedure
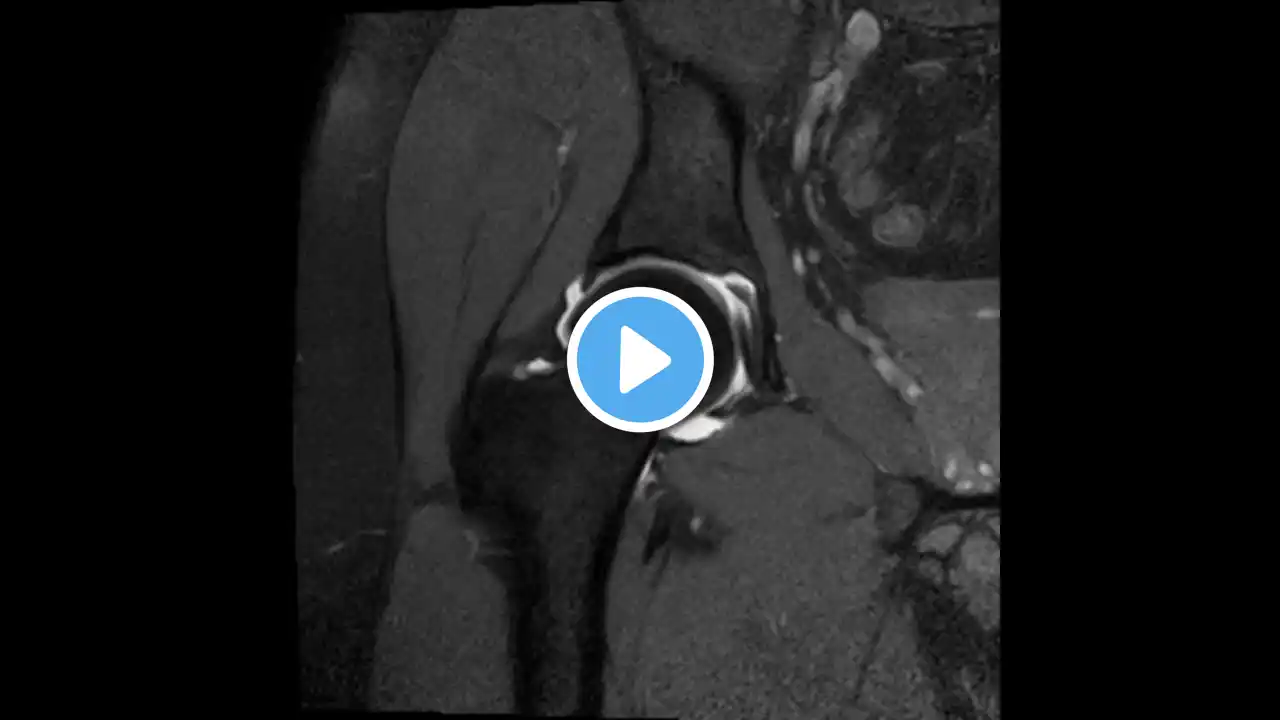
Hip MRI: Arthrogram (Contrast in Joint) Normal (No Pathology)
Normal MR arthrography of the hip - complete MRI examination
What is an MRI shoulder arthrogram?
Normal Hip Arthrogram
Dr. AJ Nafso of Nu Life Medical, IPS Client Testimonial
What to Expect during an Athrogram procedure at CDI
Shoulder Arthrography
Frozen Shoulder How To Fix It - Causes and Treatments
MR Arthrogram scan
Johns Hopkins All Children’s Sports Medicine - Arthrogram
Rotator Cuff Tear on Shoulder Arthrogram
Knotless Shoulder Labral Repair with Arthrex® PushLock®
MRI Arthrogram of the Shoulder
IMAGING DAY! | getting a hip injection (arthrogram) & MRI *ACTUAL FOOTAGE* | Hip Dysplasia Journey